English below
-----
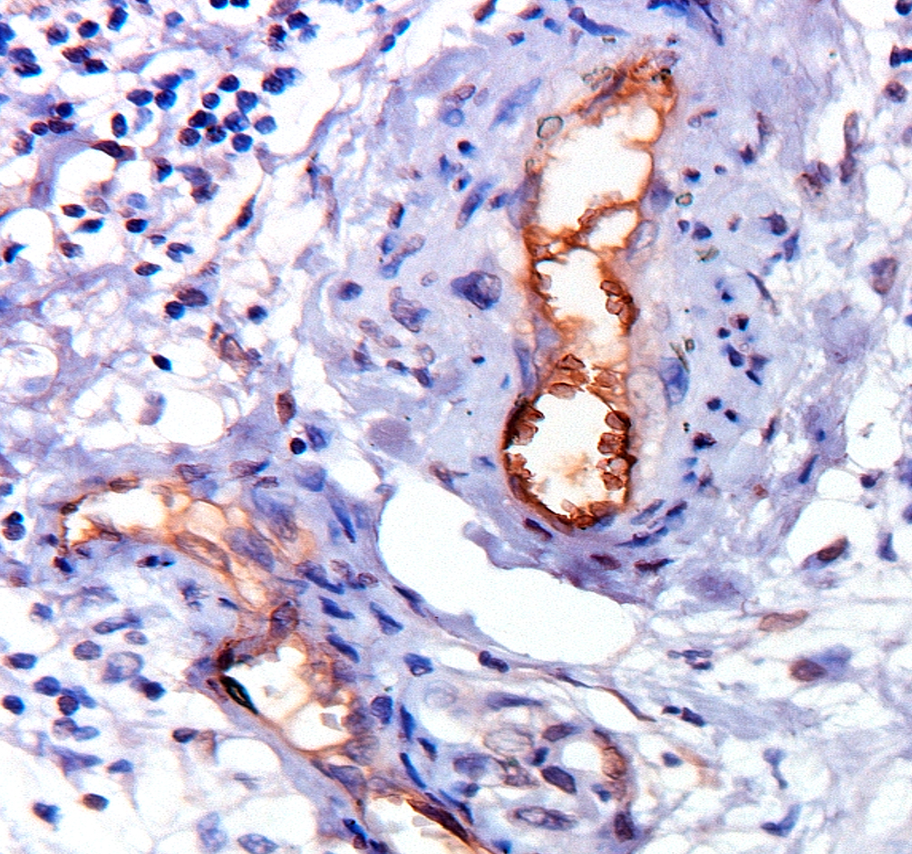
Coloration immunohistochimique du récepteur de l'insuline (INSR) dans une section microscopique du cancer de l'estomac humain. Une surexpression claire de ce récepteur (en brun) est observée dans les tissus tumoraux, alors qu'elle est absente dans les tissus non cancéreux de l'estomac. La recherche démontre que la surexpression de l'INSR est associée à une augmentation de l'angiogenèse. Cette découverte suggère que le ciblage direct de l'INSR endothéliale, probablement plus efficace par le ciblage d'une seule isoforme (INSR-A), peut ouvrir la voie à une nouvelle stratégie thérapeutique.
-----
Immunohistochemical staining for the insulin receptor (INSR) in a microscopic section of human stomach cancer. A clear overexpression of this receptor (brown) is seen in the tumor tissue, while this is absent in non-cancerous stomach tissues. The research demonstrates that overexpression of INSR is associated with increased angiogenesis. This finding suggests that direct targeting of endothelial INSR, supposedly most beneficial through targeting of only one isoform (INSR-A), may present an interesting treatment strategy.