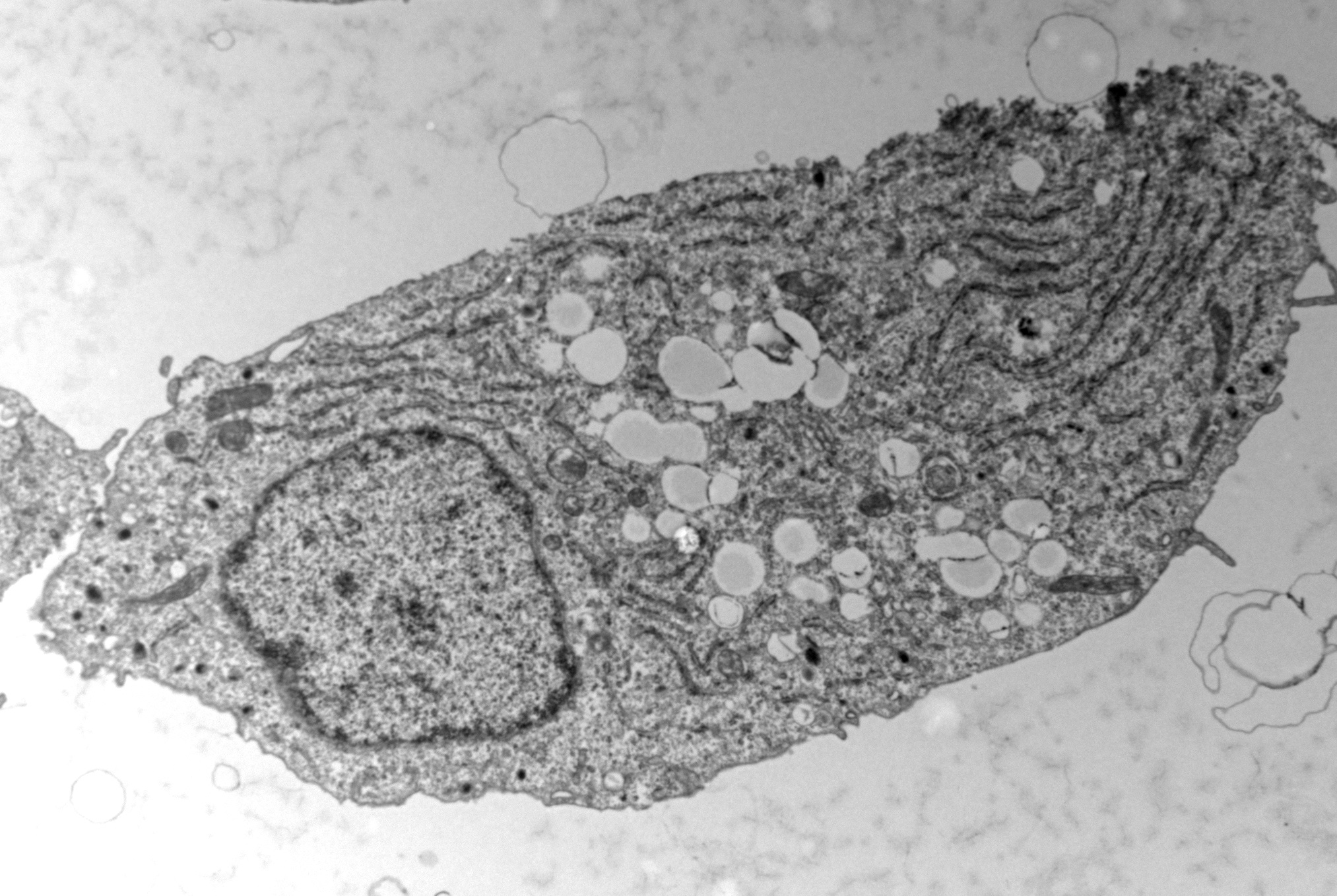
English below ----- Cellule bêta du pancréas en microscopie électronique. Les cercles blancs visibles au centre correspondent à des gouttelettes de stockage du gras. ----- Pancreatic beta cell under electronic microscopy. The white circles visible in the centre of the cell correspond to fat storage droplets.